|
About Our Braces
All of the braces used at Parkside Orthodontics are state-of-the-art and made in America. By combining modern, highly-efficient technologies with a completely computerized office, patients enjoy shorter appointments, more time between visits, and less time in treatment. Your time is valuable; we recognize that.
There are a variety of orthodontic technologies currently used at our office. Below are a few - check them out!
Metallic braces are the most familiar type. We utilize some of the smallest brackets available for your comfort. We have a large variety of colors that you can choose from - if you want to!

Ceramic or "tooth-colored" brackets bond onto the outside surfaces of your teeth, similar to conventional braces. Their clear or natural color gives them a less noticeable, "camouflaged" look.
One of the most exciting types of treatment we offer is Incognito braces. These are custom-made braces that are placed behind the teeth. They give the same high quality result as regular braces, but are completely invisible. Dr. Kuperstein is very experienced with Incognito, and has even lectured to other orthodontists and dentists on these techniques. If you have been told that you are not a good candidate for clear retainer treatment, this might be the answer for you!

How do Braces Work?
Braces use gentle, constant pressure to move teeth into their proper positions slowly, over time. Since they are attached to the teeth, they work around the clock, including during sleep. Although there are many "parts" to braces, the two most important elements are the brackets that are attached to each tooth, and the archwire that connects each bracket.

The bracket is a piece of shaped metal or ceramic that is affixed to each tooth. It serves as the "handle" that allows us to grab onto and control the movement of each tooth, individually. A band is a bracket for a molar or back tooth. It fits around the entire tooth. The archwire is a special U-shaped metallic alloy that is customized to allow proper straightening and movement of the teeth. During appointments, it is usually changed or adjusted according to each patient's individual needs. The archwire is held onto the bracket with either an elastic ligature (or o-ring), which come in a variety of colors, or a metal ligature tie.

The wire threads through the brackets and, as the wire tries to return to its original shape, it applies pressure to move your teeth. Since during orthodontics, teeth are actually moved through bone, all movement does not occur overnight. Depending on the type of adjustments made, teeth usually move between 1 and 2 millimeters each month. Dr. Kuperstein uses the latest and most modern orthodontic technologies, ensuring that her patients receive the most gentle, comfortable, and efficient treatment.
During certain phases of treatment, patients may be asked to wear elastics. These small rubber bands attach to hooks on certain teeth and exert a force that creates just the right amount of pressure to move teeth in specific ways. In order for this force to remain constant, elastics must be worn as directed and changed several times a day.
top of page
Common Problems
Crowding
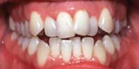
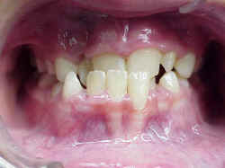
Crowding of the teeth is the most common problem associated with the need for orthodontic treatment. Many factors contribute to dental crowding. The most common reason for crowding is a discrepancy between the space available in each jaw and the size of the teeth. Crowding can lead to impacted teeth, a "bad bite", and an unesthetic appearance.

Spacing
Spaces between teeth are another common problem associated with the need for orthodontic treatment. Like crowding, spacing is also often caused by a discrepancy between the space available in each jaw and the size of the teeth. Spacing can also arise from teeth that are missing or are smaller than normal.

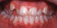
Overjet
Overjet is defined as the horizontal protrusion of the upper teeth in front of the lower teeth. Many people refer to ovejet as a “large overbite”. Overjet is often seen with a Class II malocclusion, which occurs when the top jaw is located ahead of the bottom jaw (due to a large top jaw, a small bottom jaw, or a combination of the two). Thumb and finger sucking habits can also cause excessive overjet.
Overbite
Overbite is defined as the vertical overlapping of the upper teeth over the lower teeth. A deep overbite (or deep bite) occurs when the upper front teeth completely (or mostly) cover the lower front teeth. Often, this causes the lower front teeth to bite on the gums behind the upper front teeth, causing damage to the gum tissue and underlying bone.

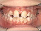
Openbite
An openbite is defined as a lack of vertical overlap of the incisor (front) teeth. It results when the upper and lower front teeth do not touch when biting down. An openbite can be caused by abnormal growth of one of both jaws or it can be caused by a thumb or finger sucking habit. In some instances, a tongue thrust (which occurs when the tongue moves between the front teeth during swallowing) may also be a contributing factor to an openbite. With an openbite, the teeth are only biting on the back teeth. This causes excessive pressure on the back teeth. Over time, this excessive pressure can cause abnormal tooth wear on the back teeth, or problems with the gums and bone surrounding the back teeth.

Underbite
An underbite occurs when the lower front teeth protrude in front of the upper front teeth. It is often seen with a Class III malocclusion, where there is a large lower jaw, a small upper jaw, or a combination of the two. An underbite is also known as an anterior crossbite.
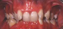
Crossbite
A crossbite occurs when the top teeth fit inside of the bottom teeth. In a normal jaw relationship, the top teeth should be located outside of the bottom teeth. A crossbite can occur with the front teeth (anterior crossbite) or with the back teeth (posterior crossbite). Posterior crossbites usually result from a narrow or constricted upper jaw. Crossbites can cause problems with biting and chewing.

Corrective Jaw Surgery
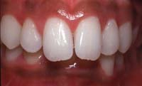
The vast majority of orthodontic patients can be treated with braces or Invisalign alone. Occasionally, however, patients may benefit from additional treatment, including a surgical approach. Corrective jaw surgery (orthognathic surgery) treats and corrects abnormalities of the facial bones, including the jaws. Often, these abnormalities cause difficulty associated with chewing, talking, sleeping and other routine activities. Orthognathic surgery corrects these problems and, in conjunction with orthodontic treatment, will improve the overall appearance of the facial profile.
If you could benefit from corrective jaw surgery, we will use the latest in digital imaging technology to demonstrate the overall functional and esthetic advantages of orthognathic surgery. Many patients have found that computerized treatment planning helps in understanding the potential benefits of the surgery. Today, the overall efficacy of surgery is also maximized by the use of computerized treatment planning and the 3-D imaging our office is equipped for. State-of-the-art materials such as titanium plates and miniature screws provide stability, strength, and predictability to your treatment. These advances in technology, procedures, and equipment reduce post-surgical recovery time, thus allowing patients to return to their normal routines soon after the surgery.
Again, orthognathic surgery may be unnecessary, as orthodontic treatment alone can usually correct most orthodontic problems. Especially considering the latest advances in orthodontics, this is often the case in our office. We will work closely with you to determine if orthognathic surgery is the correct treatment option for you.
top of page
Invisalign
Please visit the Invisalign page here.

|